안녕하세요~ 미국 어바인에 있는 톰보이 마마입니다. 임신 19주차 일기 시작합니다~ :)
정밀 초음파 검사, 초음파 사진, 태아 뇌에서 낭종 발견
이번 주에는 정말이지 정밀 초음파 검사를 받으러 갈 날만 손꼽아 기다렸다. 태동은 계속 느껴와서 크게 걱정이 되는 건 아니었지만, 튼튼이 얼굴을 볼 수 있다니!! 그리고 태반이 잘 자리 잡았는지, 자궁경부가 짧지는 않은지 등이 궁금하기도 했다. 특히 나는 고령산모(...)인 데다가 PAPP-A 수치도 낮다고 하니 특히 태반이 걱정되었다.
그렇게 고대하던 19일 6일 차, 정밀 초음파를 받으러 Hoag memorial hospital (Newport lido medical center) 병원으로 향했다. 주소는 361 Hospital Road, Suite 229, Newport Beach, CA 92663 이다. 진료실이 229호실이라 2층으로 가려고 했더니 1층에 있단다. 여하튼 평소 다니던 위치가 아니었길래 살짝 긴장했는데, 웬걸 거기 사람들이 정말 너무너무너무 친절했다. 대기 시간도 없이 속전속결로 진행해서, 예약한 시간보다도 먼저 진료 시작. 초음파를 디테일하게 봐서, 초음파 30분 & 결과 상담 10분 해서 약 40분 정도 걸렸다.
※ 이번 진료비 포함, 미국에서의 총 임신 및 출산 비용이 궁금하시면, 이 글을 참고하세요 → 임신 미국/출산 의료비 기록
엄청 친절한 여선생님이 편하게 눕도록 안내해주고, 남편과 facetime 하겠냐며 먼저 제안해준 덕분에 감동의 시간을 같이할 수 있었다. 후에 들은 내용이지만, 사실 남편은 통화 영상 화질이 엄청 깨져서 자신이 초음파로 어디를 보고 있는지 알 수 없을 정도라, 통화가 길어질수록 점점 끊고 싶었는데 왠지 선생님 눈치가 보여 못 끊었다고 한다. ㅋㅋㅋㅋ 어쩐지 선생님이랑 나는 애기 biceps 보라고 깔깔대는데 아무 반응이 없더라.. ㅋ 결국은 통화가 너무 길어지길래 내가 잘라버리긴 했다.
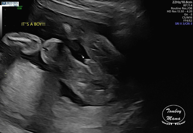
여기서 잠깐 보고 가는 튼튼이 20주차 (정확히는 19주 6일차) 초음파 사진들!
![]() |
![]() |
![]() |
![]() |
그리고 3D로 만나본 튼튼이. 사진들이 살짝 무섭긴 한데, 나중에 태어난 후의 모습이랑 비교하면 많이 비슷하려나 궁금하다. (찾아보니 입체 초음파 사진으로 생후 모습을 분석해 보여주는 한국 스타트업의 [베이비페이스]라는 프로그램이 있더라고요! 해보고 싶었는데, 25주 이상의 입체 초음파 사진이 필요하다고 해서 전 포기했어요... 저처럼 궁금하신 분들 참고하세요~)
![]() |
![]() |
상담으로 들은 내용은,
(1) 태아도 건강하고, 크기도 딱 좋고 (하루만큼 더 커서 20주 0일 크기), 다 좋단다.
(2) 단, 태아의 뇌에 낭종(choroid plexus cyst)이 있는데, 주로 다운증후군과 연관이 있는 증상이라고 했다. 자연스럽게 사라질 수도 있는 거고, 아이큐에 영향을 준다던가 하는 그런 문제가 아니기 때문에, 이게 발견되었다고 나중에 따로 추적하지는 않는다고 했다. 다만 다운증후군 가능성이 염려되면 (바늘로 찔러서 하는) 양수 검사를 할 수 있는데, 솔직히 지금 나에게는 추천하지 않는다며 3가지 이유를 얘기했다.
a. 정밀 초음파 검사 결과 이 외의 다른 증상이 보이지 않고, 모두 정상으로 보임.
b. 아기의 크기가 정상적으로 잘 자라고 있음.
c. NIPT 및 NT 테스트 결과가 이미 음성이었음.
그래서 양수검사는 원하지 않는다고 했고, 증인이 보는 앞에서 '원하지 않는다'고 페이퍼에 사인했다.
(3) 자궁 경부 길이 물어보니, 정상.
(4) PAPP-A가 낮아서 조금 우려했는데, 태반은 잘 형성되었는지 물어보니, 잘 형성되어있음. 사실 PAPP-A는 태반의 '작동'에 영향이 있는 거지 '형성'에는 큰 영향이 없단다. 태반이 잘 형성되어 자리 잡는 동안에는 문제가 없을 거고, 임신 후기 약 34주 정도에 태아에게 잘 영양을 공급하고 있는지 등 잘 작동하고 있는지 주의 깊게 보게 될 거라고 했다.
두통 증상
정밀 초음파 외에는 다른 여느 주와 같은 한 주였는데, 19주 2일차인 어느 날, 정말 평생 못 겪어본 심한 두통 때문에 고생했다. 평소처럼 3시 정도에 간식으로 사과 반개, 통밀빵 한 조각이랑 우유를 먹었는데, 그 이후로 밀려드는 터질 것 같은 두통...ㄷㄷㄷ 앉아있으면 웅웅웅웅, 일어나면 더 웅웅웅웅, 누워있어도 웅웅웅웅.. 머리의 혈관들이 한 올 한 올 한꺼번에 터지는 것 같은 느낌이었다. 일단 첫날이니 타이레놀은 먹지 말고 참아보자 싶었다.
그리고 그때부터 시작된 폭풍 검색과 결과로 마주한 임신중독증 증상들 ㅋ 저녁 내내 속도 울렁거리고, 시력은 임신한 후로 내내 안 좋아졌고, 엄청난 두통도 있고... 부종만 없을 뿐, 웬만한 증상으로 언급된 것들에는 다 해당되는 것 같았다. 다만, 혈압과 단백뇨를 확인할 수 없으니 말 그대로 심증뿐. 한 가지 위안인 건, 임신중독증은 주로 임신 후기에 나타나고 기본적으로 '임신 20주 이후'에 해당하는 질환이었다. 뭐, 그렇게 걱정을 가득 안고 어렵사리 잠들고 나니, 다음날부터는 또 괜찮아졌다. 한 마디로, 혼자 또 설레발친 셈... 아하하하하..
육아용품 쇼핑
Buybuy Baby의 지난 블랙프라이데이 프로모션으로 받은 $100 크레딧이 이틀 후 만료될 예정이라는 메일을 받았다. 오마이 백불... 그때부터 부리나케 시작된 급 쇼핑ㅋ. Babylist 레지스트리에 등록해놓았던 제품 리스트를 기준으로 & 아마존 등 타 스토어와 가격이 같거나 싼 제품 위주로 담아, $101.34 어치를 구매했고, 택스 포함 총 $7.25를 지불해서 아래 제품들을 득템(?) 했다.

어바인 일상
마지막으로, 이번 주 어바인 일상의 하이라이트는 Crescent bay point park와 Laguna beach ~!!


임신 19주차, 아기는 지금
- 14~15cm, 190~240g
- 잠자는 사이클이 조금 더 규칙적이 됨
- 태아의 뇌에 오감이 발달해 태교가 태아의 정서와 뇌 발달에 도움
- 태아의 대부분의 에너지가 몸무게를 늘리는 데에 쓰임
이번 주 나에게 나타난 임신 19주차 증상
- 머리가 깨질듯한 두통
- 두통온 날 속도 메슥거림
- 태동과 함께하는 일상이 됨
- 한쪽만 콕콕 쑤시는 배 통증
- 그 외 지속 중인 증상들 : 갈증, 가슴 커짐, 유두 예민, 어두워진 유륜 색, 빈뇨, 쉽게 숨차고 피곤





